Ihr Spezialist für Hüftoperation in 2380 Perchtoldsdorf
- OA Dr. Christoph Müller

Sowohl beim Jugendlichen oder jungen Erwachsenen als auch beim älteren Menschen können Beschwerden im Hüftgelenk auftreten. Diese können sich langsam schleichend oder akut entwickeln. Da primär versucht wird, das eigene Gelenk solange wie möglich zu erhalten, ist eine genaue Abklärung essentiell, wenn Sie darüber nachdenken, das Hüftgelenk operieren zu lassen. Nach Ausschöpfen aller gelenkserhaltenden und konservativen Maßnahmen kann letztlich ein künstliches Gelenk für Sie der richtige Weg zurück zu einem schmerzfreien und aktiven Leben sein.

 

Als Ihr Spezialist für Hüftoperation und Teamleiter im Orthopädischen Spital Speising kann ich das für Sie am besten geeignete Operationsverfahren und die entsprechenden Implantate auswählen.

 

Die genaue Abklärung der möglichen Ursachen von Hüftschmerzen ist für die weitere Behandlung von großer Bedeutung und gerade beim jungen Menschen entscheidend. Hier kommen sowohl verschiedene Arten des Hüftimpingements als auch der Hüftdysplasie in Frage. Ich bin als Spezialist für die Hüftprothese in Österreich gerne für Sie als meinen Patienten und Patientin da.

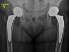
Minimal invasiver Gelenkersatz nach der AMIS® Methode

Bei der AMIS® Methode (Anterior Minimally Invasive Surgery) erfolgt der Hautschnitt etwas weiter vorne in Leistennähe im Vergleich zum traditionellen seitlichen Zugang. Dabei werden keine Muskeln mehr durchtrennt sondern diese nur zur Seite gehalten. Dies führt zu einem geringeren Blutverlust, weniger postoperativen Schmerzen, einer früheren Mobilisierung und Stabilisierung Ihrer neuen Hüfte. Bei einem Großteil der Patienten und Patientinnen kann heute diese Operationstechnik verwendet werden. Als Ihr Spezialist für die Hüftprothese in Österreich berate ich Sie gerne persönlich.

Nach Voroperationen oder bei speziellen Fehlstellungen kann es eventuell notwendig sein, andere Operationsverfahren zu verwenden. Im Rahmen der genauen Untersuchung und Abklärung in der Ordination kann ich klären, ob diese Operationsmethode für Sie geeignet ist. Ich nehme mir gerne Zeit, wenn Sie sich detailliert zur Operation des Hüftgelenks beraten lassen möchten.

In jedem Fall verwende ich als Spezialist für die Hüftprothese nur die besten verfügbaren und international erprobten Implantate und Materialien, die für eine lange Lebensdauer Ihres neuen Gelenkes sorgen.

In Zusammenarbeit aller Berufsgruppen wird durch ein spezielles Programm zur Frühmobilisierung (Rapid Recovery®) dafür gesorgt, dass Sie so rasch als möglich in Ihr Leben zurückkehren können.

Rufen Sie uns an, als Ihr Spezialist für Hüftoperation in Österreich stehe ich Ihnen für Ihre Anliegen bei Hüftschmerzen gerne zur Verfügung.